
Türkiye’nin çeşitli bölgelerinde devam eden orman yangınları, Demokrat Parti’nin gündemine oturdu. Başta Bursa, Karabük, Antalya, Uşak ve Kahramanmaraş olmak üzere pek çok şehirde verilen ...
Gazeteci ve haber programcısı Yeşim Eryılmaz, yıllar içinde medya dünyasında izleyicinin güvenini kazanmış, güçlü habercilik duruşuyla uluslararası alanda ödüller almaya devam ediyor.Eryılmaz’a son ol...
Filistin haber ajansı WAFA’ya göre, Gazze kentindeki Şifa Hastanesi’nde 7 aylık Muhammed İbrahim Ades isimli bebek, şiddetli açlık ve bebek mamasının bulunamaması nedeniyle yaşamını ...
Kuzey Kıbrıs Türk Cumhuriyeti’nin en köklü kültürel etkinliklerinden biri olan 63. Geleneksel Mehmetçik Üzüm Festivali, 29 Temmuz Salı akşamı coşkulu bir açılışla başlıyor. Mehmetçik Büyükkonuk Beledi...
Kurucu Cumhurbaşkanı Rauf Denktaş hakkında saygısızca bir kitap yazıldı… Kitap ülkemizde her kesimden büyük tepkiye yol açtı…Kurucu Cumhurbaşkanı Denktaş’ın oğlu, deneyimli siyasetçi Serdar Denktaş, s...
Fotoğraf: Artun Korudağ Geçtiğimiz hafta Güney Kıbrıs’ta Limasol’un “Malya” (Bağlarbaşı) köyünde yaşanan büyük yangında, tarihi Malya Camisi ve hemen yanındaki Halkevi de yandı. Yangında en...
Gazze’ye ablukasını sıkılaştırıp yardım girişini kısıtlayarak insani felakete yol açan İsrail’in hedefinde yerinden edilen Filistinlilerin çadırları, yardım almak isteyen siviller ve...
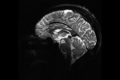
Nottingham Üniversitesi’nden bilim insanları, UK Biobank’ta yer alan 15 binden fazla yetişkinin verileriyle sağlıklı beyin yaşlanmasını tanıyan bir yapay zekâ modeli geliştirdi. Model, pandemide...
Demokratik Kongo Cumhuriyeti’nin Ituri eyaletinde yer alan Komanda’da isyancı grup Müttefik Demokratik Güçler tarafından kiliseye düzenlenen saldırıda can kaybı arttı. Yetkilil...
Afet ve Acil Durum Yönetimi Başkanlığının (AFAD) internet sitesinde yer alan bilgiye göre, merkez üssü Suriye’nin Humus kenti olan 4,1 büyüklüğünde sarsıntı kaydedildi. Hatay’ı...















